吉大二院吳敏飛教授團隊讓高位截癱患者重燃新希望

頸椎骨折高位截癱患者常面臨終身癱瘓甚至呼吸衰竭的風險。
近日,吉林大學第二醫院吳敏飛教授團隊通過“一期骨折復位固定+二期高位脊髓電刺激”的聯合治療方案,成功讓一名頸椎骨折致高位截癱患者部分恢復四肢運動功能,創造了吉林省脊髓損傷治療的里程碑。
我國雖已將脊髓電刺激技術(SCS)應用于癱瘓康復領域,但傳統方案多選擇在損傷遠端植入電極,療效存在局限,且該技術此前未在吉林省落地。吳敏飛教授團隊突破性的將電極植入在靠近脊髓損傷部位的高位脊髓,獲得了良好的高位截癱治療效果。此項“高位電刺激”治療策略的實施,不僅標志著吉林省高位截癱治療邁入新階段,更為省內截癱患者重燃康復希望。
生死博弈:一期手術精準施救,為生命按下“重啟鍵”
2024年12月,患者因交通事故導致頸椎骨折脫位,傷后患者高位截癱,四肢完全喪失運動及感覺能力。轉診至吉大二院后,吳敏飛教授團隊迅速啟動多學科會診,憑借豐富的頸椎手術經驗,在一期手術中精準完成頸椎骨折復位內固定手術,有效避免脊髓二次損傷及呼吸衰竭等致命并發癥,為后續治療奠定堅實基礎。
吳敏飛教授進行脊髓電刺激器植入術。
科技破冰:省內首例脊髓電刺激術,激活沉睡的神經
面對患者迫切的康復需求,吳敏飛教授團隊突破傳統治療瓶頸,在吉林省首次引入高位脊髓神經電刺激器置入術(SCS)。經過三維影像重建、神經電生理評估等10余項精密檢查,吳敏飛教授決定為患者實施脊髓電刺激治療。在二期手術中,手術團隊利用先進數字醫學技術,開創性的將微型電極精準植入患者脊髓損傷節段。
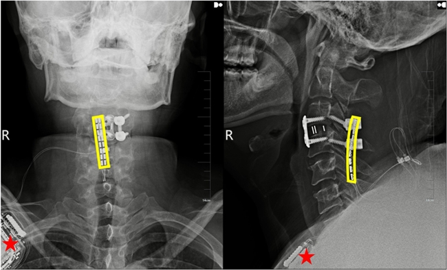
植入術后X線顯示,黃色方框為電極位置,星號為皮下脈沖發射器位置。
術后皮下脈沖發射器植入位置的微創切口。
術后確認患者狀態平穩后,治療團隊開始進行損傷脊髓的電刺激治療?;颊呓邮艹绦蚧姶碳H6小時,即能在電刺激輔助下實現下肢肌肉收縮。接受電刺激2周后,患者已能自主完成抬腿、屈膝等動作。目前患者已逐步恢復雙側膝關節屈伸、右側手指抓握等關鍵功能,腳趾活動度顯著提升,實現了從“癱瘓在床”到“對抗重力運動”的跨越。
電刺激6小時后患者恢復情況。
電刺激2周后患者恢復情況。
醫學突破:國際技術本土化,改寫截癱治療格局
“傳統觀念認為高位截癱不可逆轉,但脊髓電刺激技術為神經修復提供了全新路徑?!眳敲麸w教授介紹,團隊成員多年從事SCS理論和技術的相關研究探索,此次創新融合國際經驗與本土實踐:1.雙重技術保障:一期手術解除壓迫穩定脊柱結構,二期電刺激激活殘存神經通路;2.精準個體化方案:根據患者損傷部位進行脊髓高位精準電極植入,并定制個性化電刺激參數;3.多學科護航:脊柱外科、麻醉科、骨康復疼痛科協同制定圍手術期治療方案。此外,脊柱外科護理團隊24小時監測生命體征,全程零感染、零并發癥。值得一提的是,此次手術不僅填補了吉林省SCS治療高位截癱的空白,引領了脊髓損傷處電極高位植入的理念,更標志著脊髓損傷治療從“生物力學重建”向“神經功能恢復”的跨越。
延伸閱讀
脊髓電刺激器是一種通過電脈沖調節脊髓神經活動的植入式醫療設備,主要用于治療慢性疼痛和神經功能損傷。
脊髓電刺激器由電極、導線、脈沖發生器和體外程控設備構成。電極通過直接接觸的方式固定在脊髓硬膜的表面。脈沖發生器則深埋在皮下,其使用壽命可達15-20年。發生器通過導線與電極相連,調節電脈沖信號。醫生或患者通過體外程控設備調節刺激參數(頻率、強度、脈寬等),通過手機APP實施反饋治療效果。
脊髓電刺激器植入部分示意圖。
專家簡介
吳敏飛,教授,主任醫師,現任吉林大學白求恩第二醫院副院長,國家高層次人才“優秀青年醫師”,曾獲吉林省長白英才計劃“醫療衛生領軍人才”,吉林省第十七批突出貢獻專家,吉林最美科技工作者等榮譽稱號,兼任中國醫藥教育協會醫學模擬教育專業委員會副主任委員,中國醫師協會骨科醫師分會脊柱外科學組委員,中國醫師協會骨科醫師分會脊柱腫瘤學組委員,中國生物醫學工程學會醫學人工智能分會委員,吉林省康復醫學會副會長。
為了深入貫徹“面向人民生命健康”的國家戰略導向,吳敏飛教授扎根東北,長期深耕于脊柱外科領域,圍繞骨質疏松、3D打印、脊柱脊髓損傷與修復、人工智能等領域,建立并應用了脊柱退行性病變和脊柱腫瘤的數字化與精準化診療體系,大力提倡“外科手術微創化,微創手術精準化,精準手術智能化”的創新理念。從醫二十余年,獨立完成各類脊柱手術近15000例,為東北地區患者切實解決病痛??蒲蟹矫?,主持并參與國家自然科學基金項目、吉林省科技廳項目、吉林省發改委項目等20余項;帶領團隊在國際高水平學術刊物上發表SCI論文130余篇;授權國家發明專利5項,實用新型專利7項;以第一完成人身份獲吉林省科技進步二等獎1項,吉林省教學成果二等獎1項,中國商業聯合會科學技術二等獎1項。
分享讓更多人看到
推薦閱讀
- 吉林省貿促會:“走出去”與“引進來”齊發力,擴大吉林國際“朋友圈”
- 人民網長春2月27日電 (記者李洋) 吉林省新聞辦今日召開《關于進一步推動高水平開放發展的若干措施》新聞發布會。吉林省貿促會副會長李建華表示,近年來,吉林省貿促會充分發揮職能作用,務實開展貿易投資促進工作,織密服務企業網,擴大國際朋友圈,為吉林省高水平對外發展作出了積極貢獻?!?/a>
- 評論
- 關注